Dán răng sứ Veneer là một giải pháp tối ưu cho những ai đang gặp vấn đề về thẩm mỹ răng miệng. Hiện nay, thị trường nha khoa có rất nhiều loại răng sứ đa dạng. Trong số đó, mặt dán sứ Emax là một lựa chọn được nhiều người biết đến. Vậy phương pháp này có những ưu điểm gì nổi bật? Chi phí dán sứ Emax bao nhiêu? Cùng Nha Khoa Hoàn Mỹ Sài Gòn tìm hiểu ở bài viết dưới đây!
1. Thế nào là dán sứ Emax?
Mặt dán sứ Emax là một loại veneer sứ siêu mỏng, được chế tác từ vật liệu gốm thủy tinh Lithium Disilicate. Loại vật liệu này nổi tiếng với vẻ đẹp trong mờ tự nhiên, khả năng truyền ánh sáng vượt trội và độ bền cao.
Kỹ thuật này áp dụng việc dán mặt sứ lên bề mặt trước của răng, nhằm cải thiện các khuyết điểm thẩm mỹ trên răng và từ đó mang lại nụ cười rạng rỡ và tự nhiên như răng thật.

2. Veneer Emax phù hợp với trường hợp nào?
Phương pháp dán sứ Emax thường được chỉ định để khắc phục các khiếm khuyết trên răng. Cụ thể, nó có thể xử lý các trường hợp như răng sâu, răng bị sứt mẻ, răng thưa, răng đổi màu,.. Điểm đặc biệt là khi thực hiện dán sứ, răng thật không cần phải mài quá nhiều.
Tuy có nhiều lợi ích, nhưng không phải mọi tình trạng răng miệng đều phù hợp với phương pháp này. Đối với những vấn đề quá nghiêm trọng, dán sứ Veneer Emax có thể không mang lại hiệu quả xử lý tối ưu. Dưới đây là một số trường hợp được khuyến nghị thực hiện dán sứ Veneer Emax:
- Răng mọc khấp khểnh, lệch lạc ở mức độ nhẹ, do sai lệch về vị trí răng chứ không phải do cấu trúc xương hàm. Trong trường hợp này, dán sứ Veneer có thể là một lựa chọn thay thế cho niềng răng.
- Răng bị ố vàng, nhiễm màu nặng mà các phương pháp tẩy trắng thông thường không hiệu quả.
- Răng cửa bị thưa, có hình dạng như cánh bướm, hoặc kích thước giữa các răng cửa không đồng đều.
- Răng bị nứt, mẻ nhưng chưa ảnh hưởng đến tủy răng; hoặc phần răng bị vỡ chiếm chưa quá 1/3 chiều dài thân răng.

3. Quy trình thực hiện dán sứ Emax
Quy trình dán răng sứ Emax đúng tiêu chuẩn gồm 5 giai đoạn chính như sau:
- Giai đoạn 1: Khám và đánh giá tình trạng răng miệng
Chuyên gia nha khoa sẽ thực hiện kiểm tra toàn diện để nhận định cấu trúc răng, khớp cắn và các nét đặc trưng trên khuôn mặt của khách hàng. Dựa trên kết quả này, bác sĩ sẽ tư vấn về việc có nên áp dụng phương pháp dán sứ Emax hay không, liệu có cần các kỹ thuật hỗ trợ bổ sung nào khác, cũng như chi phí dự kiến cho quá trình điều trị.
- Giai đoạn 2: Vệ sinh và khử trùng khoang miệng
Sau khi bệnh nhân đồng ý tiến hành dán sứ, bác sĩ sẽ tiến hành làm sạch và khử trùng toàn bộ khoang miệng. Đây là bước thiết yếu nhằm đảm bảo quy trình điều trị diễn ra an toàn, phòng tránh tình trạng viêm nhiễm hoặc lây lan các bệnh lý liên quan đến răng miệng.
- Giai đoạn 3: Mài răng và lấy dấu hàm
Lớp men răng thật ở bề mặt sẽ được mài đi một phần rất mỏng, chỉ khoảng 0,2 – 0,5mm. Do đó, quy trình mài răng diễn ra hoàn toàn không gây đau, không ê buốt và giữ gìn răng thật một cách tối đa.
Tiếp theo, bác sĩ sẽ sử dụng công nghệ scan tiên tiến để lấy dấu hàm, đảm bảo mặt sứ được chế tác với độ chính xác và thẩm mỹ cao nhất.
- Giai đoạn 4: Thiết kế mặt dán sứ Emax
Mặt dán sứ Emax sẽ được thiết kế dựa trên dữ liệu lấy dấu răng, nhằm đảm bảo sự hài hòa với cấu trúc khuôn miệng và nụ cười của bệnh nhân. Khách hàng có thể tham gia vào quá trình thiết kế, đưa ra lựa chọn về màu sắc, kích thước và hình dáng của mặt dán sứ.
- Giai đoạn 5: Gắn mặt dán sứ Emax lên răng
Sau khi hoàn thiện, mặt dán sứ sẽ được cố định chắc chắn lên răng bằng vật liệu keo dán chuyên dụng và ánh sáng laser kích hoạt.

4. Chi phí thực hiện dán sứ
Mức giá dán sứ Emax phụ thuộc vào loại sứ được sử dụng và số lượng răng cần phục hình. Hiện nay, chi phí dán sứ Emax dao động khoảng 8.000.000 VNĐ/răng. Ngoài ra, tại Nha Khoa Hoàn Mỹ Sài Gòn, thường xuyên có các chương trình ưu đãi hấp dẫn.
Lưu ý:
- Giá dịch vụ có thể thay đổi tùy thuộc vào tình trạng răng miệng cụ thể của mỗi bệnh nhân và phương pháp điều trị được áp dụng.
- Vui lòng liên hệ Nha Khoa Hoàn Mỹ Sài Gòn để nhận được sự tư vấn chi tiết và báo giá chính xác nhất.
5. Lợi ích khi dán sứ Emax
Là một loại mặt dán sứ cao cấp, Veneer Emax mang đến những ưu điểm vượt trội như sau:
5.1. Tính thẩm mỹ cao, màu sắc tự nhiên như răng thật
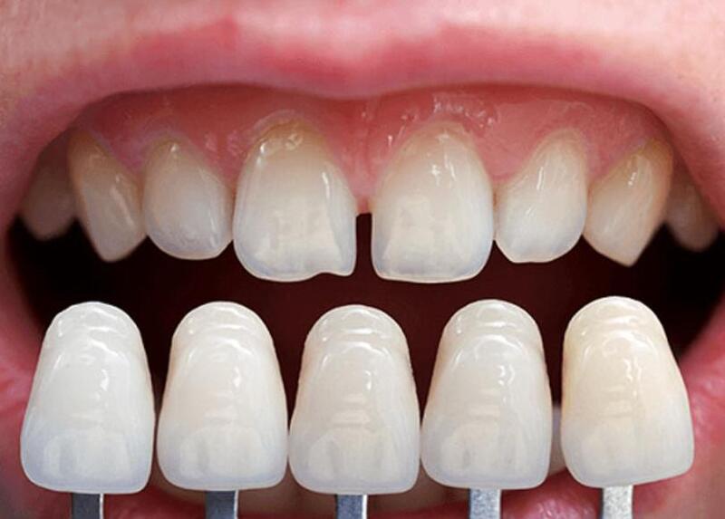
Veneer sứ Emax được chế tạo từ gốm thủy tinh Lithium Disilicate, sở hữu đặc tính mờ đục và khả năng tán sắc ánh sáng tuyệt vời, tạo nên màu sắc tự nhiên gần giống với răng thật. Bên cạnh đó, Veneer Emax có tới 16 tông màu khác nhau. Bác sĩ sẽ hỗ trợ bạn chọn lựa mặt dán sứ Emax có màu sắc hài hòa với răng thật của bạn, giúp bạn sở hữu một nụ cười đẹp và tự nhiên.
5.2. Bảo tồn răng thật tối đa, giảm thiểu xâm lấn
Trước khi dán sứ Emax, bác sĩ cần loại bỏ một lớp men răng thật mỏng để đảm bảo mặt dán ôm sát và không gây khó chịu khi sử dụng. Do miếng sứ Emax có độ dày tương đối mỏng (khoảng 0.2 – 0.5mm), bác sĩ sẽ không cần mài nhiều, từ đó bảo tồn tối đa răng thật.
5.3. Độ bền cao, khả năng chịu lực tốt
Tuổi thọ trung bình của Veneer Emax là từ 8 – 10 năm, thậm chí lâu hơn nếu được chăm sóc đúng cách. Hơn nữa, loại mặt dán sứ này có khả năng chịu lực lên tới 400Mpa, cho phép bạn thoải mái tận hưởng các món ăn yêu thích.
5.4. Hạn chế mảng bám hiệu quả
Với việc ứng dụng công nghệ tiên tiến và quy trình sản xuất hiện đại, mặt dán sứ Emax hầu như không hình thành mảng bám. Điều này cũng giúp bảo vệ răng thật khỏi sự tấn công của vi khuẩn, ngăn ngừa nguy cơ sâu răng, hôi miệng hoặc viêm nướu.
5.5. Độ tương thích sinh học cao, không gây kích ứng
Sử dụng chất liệu sứ cao cấp, Veneer Emax có độ tương thích sinh học cao, không gây phản ứng dị ứng ở nướu. Đồng thời, miếng dán sứ này còn giảm thiểu tình trạng oxy hóa, tránh làm sẫm màu viền nướu trong quá trình sử dụng.

Có thể thấy, dán sứ Veneer Emax là một lựa chọn tối ưu nhờ màu sắc tự nhiên, yêu cầu mài răng thật ít, khả năng chịu lực tốt, hạn chế mảng bám và độ tương thích sinh học cao. Tuy nhiên, để đảm bảo nhận được đầy đủ những lợi ích này, bạn nên tìm đến các cơ sở nha khoa uy tín với đội ngũ bác sĩ có chuyên môn và tay nghề cao.
Thông tin trên đây cung cấp chi tiết về mặt dán sứ Emax và giải đáp thắc mắc về chi phí cũng như quy trình thực hiện. Trước khi tiến hành, bạn nên thăm khám và tham khảo ý kiến tư vấn kỹ lưỡng từ bác sĩ để đưa ra quyết định phù hợp nhất cho bản thân.
Hoàn Mỹ Sài Gòn tự hào là địa chỉ mang đến dịch vụ dán sứ Emax chuẩn quốc tế với vật liệu cao cấp. Liên hệ 0862 766 068 để được tư vấn miễn phí và giải pháp thẩm mỹ tối ưu.
