Răng sứ có nguồn gốc từ Mỹ được nhiều người tin dùng bởi chất lượng vượt trội, giá thành hợp lý và sự đa dạng về mẫu mã. Vậy răng sứ Mỹ là gì? Chi phí bọc răng sứ Mỹ là bao nhiêu? Hãy cùng Nha khoa Hoàn Mỹ Sài Gòn khám phá chi tiết trong bài viết dưới đây.
1. Thế nào là răng sứ Mỹ? Cấu tạo
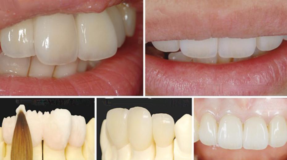
Răng sứ Mỹ là tên gọi chung cho các loại răng sứ có xuất xứ từ Hoa Kỳ. Đây là một trong những dòng răng sứ có lịch sử lâu đời và phổ biến trên toàn cầu. Tại Việt Nam, răng sứ Mỹ ngày càng được ưa chuộng nhờ độ bền cao, tính thẩm mỹ tinh tế, tuổi thọ lâu dài và đặc biệt là mức giá phải chăng, phù hợp với túi tiền của đa số người tiêu dùng.

Về cấu tạo, răng sứ Mỹ bao gồm 2 phần chính: phần sườn bên trong và lớp men sứ bao phủ bên ngoài. Chất liệu sử dụng cho từng bộ phận có thể khác nhau tùy thuộc vào loại răng sứ cụ thể.
2. Răng sứ của Mỹ có mấy loại?
Răng sứ Mỹ được phân loại thành 2 nhóm chính: răng sứ kim loại và răng toàn sứ (không kim loại). Mỗi loại đều có những ưu điểm và hạn chế riêng biệt.
2.1. Răng sứ kim loại
Loại răng sứ này có phần khung sườn làm từ hợp kim Niken – Crom, Crom – Coban – Titan. Bên ngoài được phủ một lớp sứ Ceramco III, có màu sắc tiệm cận với màu răng thật.
2.2. Răng toàn sứ (không kim loại)
Răng toàn sứ Mỹ được xem là dòng răng cao cấp và hiện đại nhất. Cấu tạo của chúng bao gồm cả phần sườn bên trong và lớp men bên ngoài đều được làm từ khối sứ nguyên chất, hoàn toàn không chứa hợp chất kim loại.
Nhờ vậy, răng toàn sứ Mỹ sở hữu những ưu điểm vượt trội, khắc phục triệt để các nhược điểm của dòng răng sứ kim loại.

3. Ưu điểm và hạn chế của răng sứ Mỹ
3.1. Ưu điểm
Khả năng chịu lực cao, ăn nhai bền bỉ
- Các loại răng sứ xuất xứ từ Mỹ đều có sức chịu đựng lực tốt.
- Đặc biệt, răng toàn sứ Mỹ có độ bền gấp 4 – 7 lần răng thật, cho phép bạn ăn nhai thoải mái mà không lo bị vỡ hay mẻ.
- Mặc dù răng sứ kim loại Mỹ không cứng bằng, nhưng vẫn đủ chắc chắn cho các hoạt động ăn nhai thông thường.
Vẻ ngoài linh hoạt, đáp ứng nhiều yêu cầu thẩm mỹ
- Răng sứ kim loại Mỹ: mang lại thẩm mỹ khá tốt, màu trắng nhưng hơi đục hơn. Phù hợp với những người muốn tiết kiệm chi phí.
- Răng toàn sứ Mỹ: có màu trắng sáng tự nhiên, hơi trong mờ như men răng thật. Là loại lý tưởng cho những ai mong muốn vẻ đẹp tự nhiên, không để lộ dấu hiệu đã bọc sứ.
Mức giá đa dạng, dễ dàng lựa chọn theo khả năng tài chính
- Răng sứ kim loại Mỹ: có giá thành phải chăng, phù hợp với học sinh, sinh viên hoặc những người cần phục hình tạm thời.
- Răng toàn sứ Mỹ: có chi phí cao hơn nhưng chất lượng vượt trội, là lựa chọn tốt cho những người ưu tiên vẻ đẹp thẩm mỹ và độ bền lâu dài.
Tuổi thọ sử dụng lâu dài
- Răng sứ kim loại Mỹ: có thể sử dụng từ 5 – 7 năm nếu được chăm sóc đúng cách.
- Răng toàn sứ Mỹ: có tuổi thọ từ 15 – 20 năm, thậm chí còn lâu hơn nếu được chăm sóc đúng cách.
An toàn cho sức khỏe răng miệng
- Răng toàn sứ Mỹ không gây phản ứng phụ, không gây viêm nhiễm nướu, có khả năng tương thích cao với cơ thể.
- Cảm giác khi ăn nhai tự nhiên, không bị cộm hay khó chịu sau khi hoàn thành quá trình phục hình.

3.2. Hạn chế
- Sau một thời gian sử dụng, viền nướu có thể xuất hiện tình trạng xỉn màu do kim loại bị oxy hóa.
- Khi tiếp xúc với nguồn sáng mạnh (như đèn flash máy ảnh, đèn điện), có thể thấy rõ bóng đen của kim loại bên trong.
- Những người có cơ địa nhạy cảm hoặc tiền sử dị ứng với kim loại nên cân nhắc tránh sử dụng vì có thể dẫn đến viêm nướu, sưng đỏ lợi.
- Dòng răng toàn sứ Mỹ có giá thành cao hơn do sở hữu chất lượng, độ bền và tính thẩm mỹ vượt trội.
4. Răng sứ Mỹ có giá thành bao nhiêu?
Hiện tại, chi phí làm răng sứ Mỹ được phân loại theo từng loại vật liệu:
- Răng sứ kim loại Mỹ có mức giá dao động từ 1.000.000 – 2.000.000 VNĐ cho mỗi chiếc. Loại này sở hữu phần khung sườn bằng kim loại, mang lại độ bền cao và mức giá phù hợp với nhiều đối tượng khách hàng.
- Dòng răng cao cấp toàn sứ Mỹ có chi phí cao hơn, khoảng từ 5.000.000 – 10.000.000 VNĐ cho mỗi chiếc. Đây là loại sứ không chứa kim loại, có tính thẩm mỹ cao và an toàn cho sức khỏe.
Giá cả cho việc trồng răng sứ Mỹ chịu ảnh hưởng đáng kể bởi vật liệu chế tạo. Cụ thể, loại răng sứ có lõi kim loại sẽ có chi phí thấp hơn nhiều so với răng toàn sứ Mỹ.
Trong trường hợp bạn mắc các vấn đề về sức khỏe răng miệng, các bác sĩ sẽ ưu tiên điều trị dứt điểm trước khi tiến hành mài cùi và gắn mão sứ. Do đó, quy trình điều trị và chi phí cụ thể sẽ thay đổi tùy theo từng khách hàng.
Những thông tin trên là tổng hợp các dữ liệu liên quan và nhận định từ các chuyên gia về dòng sản phẩm răng sứ Mỹ. Nha khoa Hoàn Mỹ Sài Gòn hy vọng bài viết này sẽ cung cấp cho bạn nhiều kiến thức hữu ích, giúp bạn lựa chọn được loại răng sứ phù hợp nhất. Liên hệ ngay với chúng tôi qua số Hotline: 0862 766 068 để đặt lịch thăm khám chi tiết.
