Viêm nha chu là một trong những bệnh lý răng miệng phổ biến nhưng thường bị xem nhẹ. Không chỉ gây tổn thương nướu và xương nâng đỡ răng, viêm nha chu còn âm thầm ảnh hưởng đến sức khỏe toàn thân nếu không được phát hiện và điều trị kịp thời. Hãy cùng nha khoa Hoàn Mỹ Sài Gòn tìm hiểu chi tiết về bệnh lý viêm nha chu qua bài viết dưới đây.
1. Viêm nha chu là gì?
Viêm nha chu là tình trạng viêm nhiễm xảy ra ở các mô nâng đỡ răng, bao gồm: nướu, dây chằng nha chu và xương ổ răng. Bệnh thường khởi phát từ viêm nướu do mảng bám vi khuẩn tích tụ lâu ngày nhưng không được kiểm soát. Khi viêm lan sâu xuống dưới nướu, các mô nâng đỡ răng dần bị phá hủy, hình thành túi nha chu và gây tiêu xương.

2. Viêm nha chu có nguy hiểm không?
Viêm nha chu không đơn thuần là bệnh răng miệng thông thường. Nếu không điều trị đúng cách, bệnh có thể gây ra những hậu quả nghiêm trọng, ảnh hưởng trực tiếp đến chất lượng sống và sức khỏe tổng thể.
2.1. Tác động trực tiếp đến sức khỏe răng miệng
– Gây mất răng: Khi xương ổ răng và mô nha chu bị tiêu hủy, răng mất đi sự nâng đỡ và dần trở nên lung lay, cuối cùng có thể rụng hoặc buộc phải nhổ bỏ.
– Ảnh hưởng đến chức năng nhai: Răng lung lay khiến việc ăn nhai trở nên khó khăn, đau nhức, từ đó ảnh hưởng đến tiêu hóa và dinh dưỡng.
– Gây hôi miệng kéo dài: Vi khuẩn trong túi nha chu sinh ra các hợp chất gây mùi khó chịu, khiến hơi thở hôi dai dẳng dù đã vệ sinh răng miệng thường xuyên.
2.2. Tác động đến sức khỏe toàn thân
– Tăng nguy cơ bệnh tim mạch và đột quỵ: Vi khuẩn nha chu có thể xâm nhập vào máu, gây viêm mạch và làm tăng nguy cơ xơ vữa động mạch.
– Tăng nguy cơ mắc bệnh tiểu đường: Viêm nha chu làm rối loạn khả năng kiểm soát đường huyết, đồng thời người mắc tiểu đường cũng dễ bị viêm nha chu nặng hơn.
– Gây ra các vấn đề hô hấp: Vi khuẩn từ khoang miệng có thể theo đường hô hấp gây viêm phổi, đặc biệt ở người lớn tuổi.
– Liên quan đến các bệnh khác: Nhiều nghiên cứu cho thấy viêm nha chu có mối liên hệ với sinh non, viêm khớp và suy giảm miễn dịch.

3. Nguyên nhân gây viêm nha chu
– Do mảng bám – cao răng tích tụ: Mảng bám chứa vi khuẩn hình thành liên tục trên răng. Khi không được làm sạch, chúng cứng lại thành cao răng và gây viêm nướu.
– Thói quen vệ sinh răng miệng kém: Đánh răng không đúng cách, không dùng chỉ nha khoa hoặc tăm nước khiến vi khuẩn dễ dàng phát triển.
– Hút thuốc lá, rượu bia: Thuốc lá làm giảm khả năng lành thương của mô nướu và che lấp các dấu hiệu viêm, khiến bệnh tiến triển nhanh hơn.
– Bệnh lý nền (tiểu đường…): Các bệnh mạn tính làm suy giảm hệ miễn dịch, tạo điều kiện cho vi khuẩn nha chu phát triển mạnh.
– Thay đổi nội tiết tố: Phụ nữ mang thai, dậy thì hoặc tiền mãn kinh có nguy cơ viêm nha chu cao hơn do nướu nhạy cảm.
– Sử dụng các loại thuốc gây khô miệng: Khô miệng làm giảm khả năng tự làm sạch của nước bọt, tạo môi trường thuận lợi cho vi khuẩn.
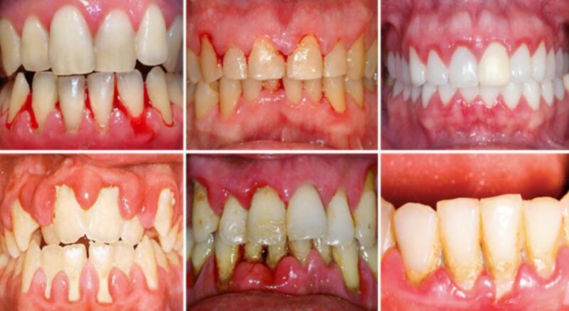
4. Dấu hiệu nhận biết viêm nha chu
– Nướu đỏ, sưng và dễ chảy máu khi đánh răng.
– Hơi thở có mùi hôi kéo dài.
– Nướu tụt, chân răng lộ rõ.
– Cảm giác đau hoặc ê buốt khi ăn nhai.
– Xuất hiện mủ quanh răng.
– Răng có dấu hiệu lung lay hoặc lệch vị trí.
Những dấu hiệu này có thể xuất hiện rời rạc hoặc đồng thời, tùy mức độ bệnh.

5. Các giai đoạn tiến triển của viêm nha chu
Viêm nha chu thường phát triển qua 3 giai đoạn:
- Giai đoạn 1: Viêm nướu
Mảng bám và cao răng tích tụ quanh răng gây kích ứng nướu, khiến nướu sưng đỏ và dễ chảy máu khi chải răng. Ở giai đoạn này, mô nâng đỡ răng chưa bị tổn thương.
- Giai đoạn 2: Viêm nha chu
Vi khuẩn xâm nhập sâu xuống dưới nướu, hình thành túi nha chu có mủ. Nướu viêm nặng hơn, dễ chảy máu khi ăn nhai và xuất hiện hôi miệng kéo dài.
- Giai đoạn 3: Viêm nha chu nặng
Xương ổ răng và mô quanh răng bị phá hủy, nướu tụt rõ, răng lung lay và có nguy cơ mất răng nếu không điều trị kịp thời.
Lưu ý: Viêm nha chu có thể xuất hiện sớm ở cả nam và nữ. Việc nướu sưng rồi xẹp không đồng nghĩa với bệnh đã khỏi mà thường là dấu hiệu bệnh đang tiến triển âm thầm. Chủ động thăm khám nha khoa ngay khi có dấu hiệu bất thường là cách tốt nhất để bảo vệ răng thật lâu dài.
6. Chẩn đoán viêm nha chu như thế nào?
Để chẩn đoán bệnh viêm nha chu, bác sĩ sẽ dựa trên:
– Thăm khám lâm sàng: Bác sĩ kiểm tra tình trạng nướu, đo độ sâu túi nha chu và đánh giá mức độ lung lay của răng.
– Chụp X-quang: Hình ảnh X-quang giúp xác định mức độ tiêu xương ổ răng.
– Xét nghiệm vi sinh: Trong một số trường hợp, xét nghiệm giúp xác định loại vi khuẩn gây bệnh điển hình như: Prevotella intermedia, Porphyromonas gingivalis, Aggregatibacter actinomycetemcomitans và Treponema denticola.
– Chẩn đoán bệnh: Dựa trên tổng hợp các yếu tố lâm sàng và cận lâm sàng để đưa ra phác đồ điều trị phù hợp.
7. Các phương pháp điều trị viêm nha chu hiện nay
7.1. Điều trị không phẫu thuật
– Cạo vôi – đánh bóng: bằng thiết bị siêu âm, dụng cụ chuyên dụng hoặc công nghệ hỗ trợ giúp loại bỏ cao răng và mảng bám vi khuẩn. Sau đó bác sĩ sẽ làm nhẵn bề mặt chân răng, hạn chế vi khuẩn tái bám và hỗ trợ nướu bám sát hơn.
– Sử dụng thuốc kháng sinh: Tùy trường hợp bác sĩ sử thuốc kháng sinh tại chỗ bôi dưới nướu hoặc kê toa thuốc uống để kiểm soát vi khuẩn.
7.2. Điều trị phẫu thuật
Khi tổn thương mô và xương ổ răng nghiêm trọng, điều trị phẫu thuật là cần thiết để kiểm soát viêm và bảo tồn răng.
– Phẫu thuật vạt nướu: Giúp làm sạch triệt để vùng viêm sâu dưới nướu và tái định hình mô nướu.
– Ghép xương, ghép mô liên kết: Được chỉ định khi xương quanh răng bị tiêu nhiều, nhằm phục hồi cấu trúc nâng đỡ răng.
– Huyết tương giàu tiểu cầu (PRP): Được sử dụng để thúc đẩy quá trình tái tạo mô và rút ngắn thời gian lành thương.
8. Điều trị viêm nha chu ở đâu uy tín?
Để điều trị viêm nha chu hiệu quả và hạn chế tái phát, việc lựa chọn đúng địa chỉ nha khoa uy tín là yếu tố rất quan trọng. Nha Khoa Hoàn Mỹ Sài Gòn là một trong những đơn vị được nhiều khách hàng tin tưởng nhờ những ưu điểm nổi bật sau:

– Đội ngũ bác sĩ 10+ năm kinh nghiệm: Trực tiếp thăm khám và xây dựng phác đồ điều trị phù hợp với từng mức độ viêm, giúp kiểm soát bệnh hiệu quả và bảo tồn răng thật.
– Trang thiết bị hiện đại: Hỗ trợ chẩn đoán chính xác tình trạng mô nha chu, xương ổ răng và mức độ viêm nhiễm.
– Quy trình điều trị nha chu chuẩn quốc tế: Thực hiện bài bản, an toàn, hạn chế đau và giảm nguy cơ biến chứng
– Cam kết an toàn – hiệu quả: Ưu tiên bảo tồn răng thật, điều trị đúng chỉ định, đảm bảo hiệu quả lâu dài và an tâm cho khách hàng trong suốt quá trình điều trị.


Viêm nha chu là bệnh lý răng miệng không nên xem nhẹ, bởi bệnh có thể tiến triển âm thầm và gây mất răng cũng như ảnh hưởng đến sức khỏe toàn thân nếu không được điều trị kịp thời. Việc thăm khám sớm và can thiệp đúng cách sẽ giúp kiểm soát viêm hiệu quả, bảo tồn răng thật và duy trì chức năng ăn nhai lâu dài.
Nếu bạn đang gặp các dấu hiệu nghi ngờ viêm nha chu hoặc cần tư vấn chuyên sâu, hãy liên hệ nha khoa Hoàn Mỹ Sài Gòn qua hotline: 0862 766 068 để được đội ngũ bác sĩ hỗ trợ, thăm khám và xây dựng phác đồ điều trị phù hợp, an toàn và hiệu quả.
