Phương pháp trám răng thưa là một kỹ thuật thẩm mỹ nha khoa được nhiều người lựa chọn để khắc phục tình trạng răng bị hở mà không cần can thiệp sâu vào cấu trúc răng ban đầu. Bài viết này, Nha Khoa Hoàn Mỹ Sài Gòn sẽ đi sâu vào việc có nên áp dụng phương pháp này, quy trình thực hiện cũng như cách chăm sóc răng sau khi trám.
1. Nguyên nhân làm răng bị thưa
Có nhiều nguyên nhân gây ra tình trạng răng bị thưa, có thể phân thành 2 nhóm chính:
- Nguyên nhân chủ quan: Bao gồm các thói quen trong quá trình răng phát triển ảnh hưởng đến vị trí mọc của răng cửa, khiến chúng bị lệch ra ngoài hoặc cụp vào trong, tạo ra khoảng trống giữa các răng. Vệ sinh răng miệng không tốt dẫn đến các bệnh lý răng miệng cũng là một nguyên nhân.
- Nguyên nhân khách quan: Sự không cân đối giữa kích thước răng và cung hàm, thiếu mầm răng bẩm sinh hoặc răng mọc ngầm. Răng mọc ngầm ngay dưới chân răng cửa hoặc các bệnh lý răng miệng khác cũng góp phần gây ra tình trạng này.
Trong số đó, các bệnh lý răng miệng như viêm nướu, viêm nha chu, mòn cổ chân răng và sâu răng là những nguyên nhân phổ biến.
2. Trám răng thưa là gì?
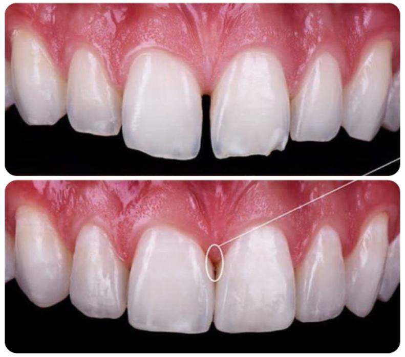
Trám răng thưa là một kỹ thuật nha khoa tương đối đơn giản, sử dụng các vật liệu có màu sắc và đặc tính tương đồng với men răng thật để khắc phục tình trạng răng bị thưa, mang lại vẻ đẹp thẩm mỹ.
Hiện nay, có nhiều loại vật liệu được sử dụng để hàn các kẽ răng thưa, bao gồm Amalgam, Composite và GIC. Trong đó, Composite được ưa chuộng hơn cả nhờ màu sắc tự nhiên, gần giống răng thật và chi phí thực hiện hợp lý.

Răng bị mẻ có trám được không? Quy trình trám răng mẻ chi tiết
3. Có nên trám răng thưa không?
Trám răng thưa là một giải pháp an toàn, tiết kiệm chi phí, không đòi hỏi điều trị xâm lấn phức tạp và có chi phí thấp hơn so với bọc răng sứ. Nha sĩ sẽ sử dụng một loại nhựa Composite có màu sắc trùng với màu răng để đắp lên một hoặc nhiều răng nhằm khắc phục khuyết điểm.
Đây là một phương pháp điều trị nhanh chóng và hiệu quả, thường có thể hoàn thành chỉ trong một lần thăm khám. Tuổi thọ của miếng trám răng có thể kéo dài từ 2 – 5 năm, tùy loại vật liệu trám. Do đó, trám răng thưa là một lựa chọn hiệu quả khi gặp phải tình trạng răng thưa.
4. Quy trình hàn răng thưa
Hiện nay, có 2 kỹ thuật trám răng thưa phổ biến:
- Trám răng trực tiếp: Nha sĩ sẽ đắp trực tiếp vật liệu Composite lên vùng răng bị thưa, tạo hình và làm cứng nhựa bằng đèn UV ngay trong một lần điều trị.
- Trám răng gián tiếp: Miếng trám được chế tác bên ngoài dựa trên mẫu hàm của bệnh nhân rồi mới gắn vào răng. Phương pháp này thích hợp cho những trường hợp răng thưa phức tạp và đòi hỏi độ bền cao hơn.
Quy trình trám răng thưa theo phương pháp trực tiếp bao gồm các bước sau:
- Bước 1: Nha sĩ sẽ kiểm tra tình trạng răng miệng và làm sạch răng trước khi tiến hành. Nếu cần, có thể tiêm thuốc tê nhẹ để giảm bớt cảm giác khó chịu.
- Bước 2: Bề mặt răng sẽ được làm nhám nhẹ và phủ một lớp keo dán để tăng cường khả năng bám dính của vật liệu trám.
- Bước 3: Composite dạng lỏng sẽ được nha sĩ đắp từng lớp để lấp đầy khoảng trống hoặc khuyết điểm trên răng, sau đó dùng đèn UV để làm đông cứng vật liệu.
- Bước 4: Bề mặt miếng trám sẽ được đánh bóng để hoàn thiện, đảm bảo tính thẩm mỹ tự nhiên và không gây cảm giác cộm vướng.

Toàn bộ quá trình này thường kéo dài từ 30 – 60 phút, tùy thuộc vào số lượng răng cần trám. Trong một số trường hợp, nếu tình trạng răng thưa ảnh hưởng đến cấu trúc tổng thể của hàm, nha sĩ sẽ đề xuất các giải pháp bổ sung như niềng răng hoặc bọc răng sứ để đạt được kết quả tốt nhất.
Khi nào nên trám răng cửa? Có đau không và có bền không?
5. Nên trám răng thưa hay bọc răng sứ?
Hai phương pháp được ưa chuộng để khắc phục tình trạng răng thưa, hở kẽ hiện nay là trám khe hở giữa các răng và bọc sứ. Bạn nên lựa chọn trám răng thưa nếu khoảng cách giữa các răng nhỏ (≤ 2mm) và mong muốn một giải pháp tiết kiệm chi phí, thực hiện nhanh chóng.
Ngược lại, bạn nên cân nhắc bọc răng sứ khi răng thưa nhiều, khoảng cách lớn và ưu tiên tính thẩm mỹ, độ bền cao, dù phương pháp này yêu cầu mài răng thật và tốn kém hơn. Cả 2 kỹ thuật đều có những ưu và nhược điểm riêng, do đó, bạn nên lựa chọn phương pháp tối ưu và phù hợp nhất với nhu cầu cá nhân.
5.1. Phương pháp trám răng thưa
Ưu điểm:
- Đảm bảo chức năng ăn nhai và mang lại vẻ đẹp thẩm mỹ cao.
- Không cần mài răng, giúp bảo tồn răng thật tối đa.
- Thời gian thực hiện nhanh chóng.
- Chi phí hợp lý.
Nhược điểm:
Phương pháp trám răng thưa có tuổi thọ không cao, thường chỉ kéo dài khoảng 2 – 5 năm và dễ bị bong tróc nếu ăn các loại thức ăn quá cứng hoặc dai.
5.2. Phương pháp bọc sứ
Ưu điểm:
- Răng sứ có độ bền và khả năng chịu lực tốt, cho phép người sử dụng thoải mái ăn nhai sau khi bọc sứ.
- Bọc sứ thẩm mỹ không chỉ giải quyết vấn đề răng thưa, hở kẽ mà còn giúp hàm răng trở nên trắng, sáng và đều màu hơn.
- Các loại răng sứ chất lượng cao. Ví dụ như răng toàn sứ, có thể duy trì tuổi thọ lên đến 20 năm.

Nhược điểm:
Quá trình bọc sứ đòi hỏi phải mài đi răng thật để tạo cùi răng. Điều này có thể làm suy yếu răng thật, thậm chí dẫn đến gãy rụng nếu thực hiện tại các cơ sở nha khoa kém uy tín.
Răng bị mẻ có trám được không? Quy trình trám răng mẻ chi tiết
6. Cách chăm sóc sau khi trám răng thưa
Với sự chăm sóc phù hợp, răng trám có thể giữ vẻ đẹp từ 3 – 5 năm. Vì vậy, sau khi trám răng, việc tuân thủ chặt chẽ các quy tắc vệ sinh răng miệng là vô cùng cần thiết.
- Tuyệt đối không dùng răng để cắn hoặc cậy các vật cứng (như móng tay, đồ vật cứng khác) nhằm ngăn ngừa tình trạng vỡ hoặc bong tróc vật liệu trám.
- Hạn chế tật nghiến răng khi ngủ. Nếu bạn có thói quen này, hãy cân nhắc sử dụng dụng cụ bảo vệ răng khi ngủ.
- Chải răng ít nhất 2 lần mỗi ngày với kem đánh răng có chứa fluoride để củng cố men răng và giảm nguy cơ sâu răng.
- Thăm khám nha khoa định kỳ để bác sĩ kiểm tra, đánh giá và có biện pháp chỉnh sửa hoặc thay thế vật liệu trám khi cần thiết.
- Sử dụng chỉ nha khoa hàng ngày để làm sạch mảng bám tại các kẽ răng, từ đó hạn chế vi khuẩn gây sâu răng và viêm lợi.
- Tránh tiêu thụ các loại thực phẩm quá nóng, quá lạnh hoặc có tính axit cao vì chúng có thể ảnh hưởng đến độ bền của vật liệu trám.

Hy vọng những thông tin này đã giúp bạn có cái nhìn rõ hơn về việc có nên trám răng thưa hay không và đâu là giải pháp tối ưu cho từng trường hợp cụ thể. Mỗi phương pháp đều có những ưu điểm và hạn chế riêng, do đó, việc đến gặp bác sĩ để được thăm khám và tư vấn trực tiếp là yếu tố quan trọng để đảm bảo tính thẩm mỹ và tuổi thọ lâu dài.
Nếu bạn đang gặp vấn đề răng thưa và mong muốn tìm kiếm một giải pháp an toàn, hãy liên hệ Nha Khoa Hoàn Mỹ Sài Gòn qua số 0862 766 068 để nhận được sự hỗ trợ tốt nhất.
